In-Ovation® Braces
In-Ovation® System Braces
In-Ovation is a new and technically advanced system that can give you the radiant smile you have always wanted more quickly than traditional braces. Without the need for elastic or uncomfortable metal ties, you have less irritation, less plaque build-up, and less difficulty keeping your teeth clean.
Best of all, there’s never a need to have your braces tightened! Using light, gentle forces, In-Ovation makes the path to a beautiful smile faster and more comfortable than you ever thought possible!
Traditional Braces
Elastics and ties used in older braces put pressure and friction on teeth which slows treatment and causes discomfort.
In-Ovation
With the In-Ovation self-ligating system, teeth are free to move more quickly, easily and comfortably.
A Beautiful Smile is Fast and Easy!
With In-Ovation, you can achieve amazing results faster – often months sooner than with other braces, depending on your treatment needs.
WITH IN-OVATION, YOU CAN HAVE:
- Faster results
- Shorter appointments
- Fewer office visits
- Greater comfort
- No elastics or metal ties necessary
- The smile you’ve always wanted
If you prefer CLEAR BRACES, In-Ovation has that option covered as well.
In-Ovation® C Clear Braces
In-Ovation C Clear Braces are crafted from a translucent ceramic that naturally blends with your teeth. This enables you to smile with confidence while you’re getting treated. In-Ovation C is the comfortable, convenient, and discreet way to transform your smile from average to artistic.
With In-Ovation C Clear Braces, Smiles Hollywood Orthodontics helps your smile get noticed for all the right Top McKinney Orthodontics reasons!

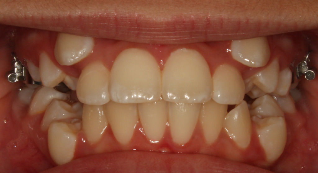
In-Ovation Case Study: Teenage 14-year-old

Before

After
Smiles Hollywood Orthodontics has done many orthodontic cases with the In-Ovation self-ligating braces, and all of our patients are so happy with their beautiful smiles. Here is an In-Ovation treatment plan that Dr. Crise and Dr. Downs performed on a 14-year-old. She had severe crowding in both arches, as well as thinner gum tissue around her front teeth. After reviewing her records, The doctors first recommended sending her to have four premolars removed so that she would not be prone to gum recession. Removing these teeth created space so that her upper canines could move into the proper position in her arch without causing additional flaring of the front teeth. In the lower arch, the removals helped with the alignment of the teeth without causing more flaring. When the doctors evaluated her growth film, they could see that she had more of a vertical growth tendency in her lower jaw. This growth pattern made her more prone to having an open bite. By removing the first premolars, this helped the orthodontists to close down her bite during braces treatment. Elastic wear was very important during her treatment. Her good elastic wear helped close down the bite on the sides so that all of the teeth were touching, top to bottom. This patient was a great cooperator and thus had a beautiful result.
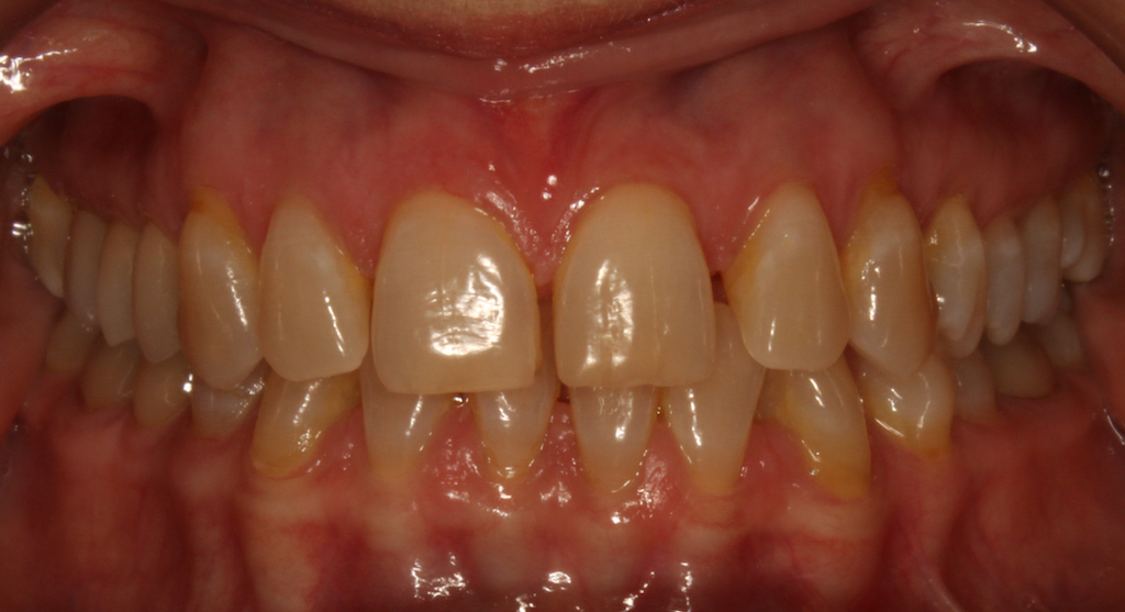
In-Ovation Case Study: ADULT age 56 years old

Before

After
Smiles Hollywood Orthodontics treats patients of ALL ages, including many adults, who get braces!! Here is one example of a treatment plan that Dr. Crise and Dr. Downs performed on a Top McKinney Orthodontics adult patient in her upper 50s. She had full upper and lower In-Ovation self-ligating braces to improve the tooth alignment and resolve the rotations around the lower front teeth. Some bite turbos were added on the very back lower molars to prop her bite off of the front teeth since they were currently mobile and in fremitus. There was some excess spacing in both arches, mainly on the upper left side and the lower left side. However, there appeared to be a larger amount of space in the upper, so the braces were used to close as much of this spacing as possible. The amount of upper space closure achieved depended on how the upper and lower teeth fit together.
We didn’t want the bite in the front to be as tight as it was because there was too much pressure on her front teeth, causing her front teeth to slightly wiggle every time she bit down (fremitus). Some lower slenderizing was then necessary on her lower teeth to allow for even more of the upper spaces to be closed. Since the lower front teeth were more triangular in shape, doing some lower slenderizing decreased the size of these teeth slightly and made her teeth look better by lessening “dark triangles” by the gumline. The lower slenderizing was enough to allow for full upper space closure. In some patients, lower slenderizing is not enough, however it is necessary for some space to be left open on the upper for composite restorations to be done on the lateral incisors after braces. The upper lateral incisors OR the upper central and lateral incisors can sometimes both need small composites done to make these teeth a little wider in order to close the residual spaces. If composites end up being needed, then the doctors would have the patient’s dentist evaluate the Top McKinney Orthodontics spaces before the completion of braces treatment to make sure no further changes were needed before braces were removed.
This patient wore elastics (or rubber bands) during the treatment to help achieve the proper bite relationship. The patient’s compliance with elastics was key to a successful Top McKinney Orthodontics treatment finish.
One of the most challenging aspects of her case was the retention phase after the braces were completed because upper and lower spacing tends to have a high relapse potential. Normally, upper and lower essix retainers are the best for keeping spaces closed since they hold the alignment the tightest and are the best for protecting the teeth against the clenching and grinding habits which this patient did have. However, this patient wasn’t comfortable wearing essix retainers, so a bonded retainer was another option that was used. Once her braces were removed and a sufficient time had passed for her gums to heal, the doctors did a lower bonded retainer and upper and lower wraparound Hawley retainers. Although these Top McKinney Orthodontics retainers are not quite as reliable as essix retainers in keeping spaces closed, this patient liked them since they didn’t fully cover the teeth. The doctors also highly suggested this patient see the periodontist once her braces were done to evaluate for upper and lower fiberotomies around her front teeth. This gum procedure decreases the relapse potential of the spacing and helps keep spaces closed more reliably.
As you can see, In-Ovation braces can do some amazing things for all different types of orthodontic cases. Smiles Hollywood Orthodontics would love to see you and discuss what type of Top McKinney Orthodontics treatment would be most successful for you! Please call us at 972-529-9700 to schedule your complimentary exam today!
AWARD-WINNING ORTHODONTISTS FOR BRACES AND
clear-aligners IN THE MCKINNEY, ALLEN, FAIRVIEW, PLANO, FRISCO,
CELINA, PROSPER, MELISSA, ANNA, & PRINCETON, TEXAS AREAS
“They work with you as the patient to help you achieve that “Hollywood” smile. As a kid I remember coming here and loving it, I mean the inside is decked out like Hollywood so it is very kid friendly. There is free popcorn, coffee, and video games kids can play while they wait. The staff is very nice as well as the doctors. From when I was a kid up until my frequent visits recently I have seen the same doctors and nothing has changed! They are SO nice! Warm and welcoming.”
~ River L.
Read More Reviews
SMILES HOLLYWOOD HAS BEEN FEATURED ON…

SMILES HOLLYWOOD HAS BEEN AWARDED FOR…

![]()
MCKINNEY, ALLEN, FAIRVIEW, PLANO, FRISCO, CELINA, PROSPER, MELISSA, ANNA & PRINCETON, TEXAS AREAS





